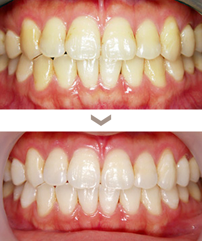
審美治療

審美性のみ回復しても被せものの適合がよくなかったりすると清掃性が悪くなり、 見かけはキレイだけど、中が汚れていることがあります。
「口臭が気になる」これも審美的・機能的に歯を入れると改善することが非常に多いです。
「差し歯の色が気になる」「歯茎の境目が黒い」「金属の詰めものが気になる」など、本当に綺麗になりたい方のお力になります。
ご相談ください。
ホワイトニング
ホワイトニングで白く美しい歯に
専用の薬剤を塗って歯の色素を分解し、歯を削ることなく白くする方法です。喫煙や紅茶、コーヒーの飲用などによる歯の変色、老化や遺伝による黄ばみにも優れた効果があります。
当院では、医院にて行うオフィスホワイトニング、ご自宅で行えるホームホワイトニング、両方行うデュアルホワイトニングを取り扱っております。
患者様の歯の質やご希望などをお聞きし、最適な方法をご提案いたします。
ポリリン酸プラチナホワイトニング
ポリリン酸プラチナホワイトニングは、従来の「痛そう、高そう、我慢することが多そう…」 といったイメージをくつがえす、まったく新しい施術方法を導入しております。痛みが圧倒的に少なく、白さは従来の3倍、ラジカル2.81倍、短時間の施術で終了でき、 施術後すぐにでもカレー、コーヒーなどの飲食もできる優れものです。
白くしたいときに、いつでも出来るのが特徴です。
ポリリン酸プラチナホワイトニング(オフィス)
医院にて行うホワイトニングを「オフィス・ホワイトニング」といいます。1回の施術でホワイトニング効果が出るので、短時間で歯を白くしたい方におすすめです。
価格
1回目:7,700円
2回目:4,400円
3回目:4,400円
※オフィスホワイトニングを2回以上受けられた方へ、更なる白さの追求、白さ維持のため、ホームホワイトニングセットを 5,000円割引の22,000円 にて提供いたします。
※オフィスホワイトニングの効果をキープするために、いつでも手軽に行える「ホームホワイトニング」を併用するデュアルホワイトニングが一押しです。
※価格は全て税込です。
ホームホワイトニング
ご自宅にて行うホワイトニングを「ホームホワイトニング」といいます。 ホワイトニング専用のマウスピースに薬剤を入れ数時間ほど装着する簡単なホワイトニング方法です。価格:27,500円(上下1セット)
※一度マウスピースを作ってしまえば、その後は薬剤のみの購入も可能です。
(1本:3,300円)
※価格は全て税込です。
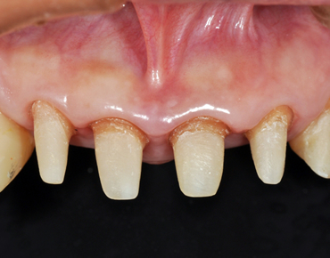
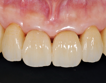
インビザライン矯正
グラディアダイレクトボンディング

耐久性・審美性が圧倒的に違います
保険の詰め物との差は歴然です
当院では、グラディアダイレクトというダイレクトボンディング用のハイブリッドセラミックを使用しております。
グラディアダイレクトは色彩の選択肢が多く、患者様ご自身の歯の色に合わせた自然な色合いに仕上げることができます。
また、金属が含まれていない白い素材ですので、隙っ歯の審美的改善や変色したレジン樹脂の取り替え、金属のつめものの色が気になる場合など、来院したその日のうちに修復が完了するので患者さんの負担も軽減されます。
型をとらず欠損部のみ、その場で治療が完了するため、インレーに比べ歯のダメージが少ないです。
長期経過により樹脂の着色や破折が起きる場合もあります。
大きい範囲を修復したり、長く安定する治療をご希望される方には、ジルコニア、セラミッククラウン(被せ物)治療をご提案する場合もあります。
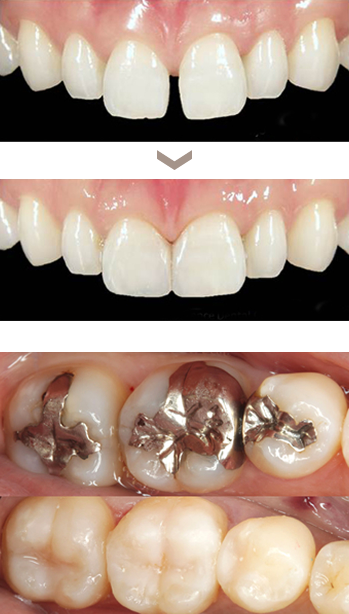
セラミック治療
セラミック治療とは虫歯や外傷などで歯の一部が損なわれてしまった際に、その欠損部分を補う素材を金属ではなく、審美性・機能性・耐久性に優れたセラミック材を使用し修復する治療です。当院では金属を使わない治療を推奨しております。
コア
根の治療をした後など、そこへ土台を作り被せ物をいたします。その土台のことをコアと呼びます。
メタルコア、ファイバーコアなどがございます。
※表は横スクロールしてご覧いただけます。
| 強度 | しなやかさ | 審美性 | |
|---|---|---|---|
| メタルコア | 〇 | △ | △ |
| ファイバーコア | △ | 〇 | 〇 |
※患者様のご希望と歯の状態に合わせて、使い分けをします。
メタルコア
強度が高い分、歯根破折のリスクがあるため弱っている歯には不向きです。色が黒く、透けやすい欠点があります。
価格:5,500円(税込)
ファイバーコア
グラスファイバーで出来た差し歯の土台をファイバーコアといいます。メリットとしては、しなやかで硬さが歯に近いため歯根の破折が起こりにくいこと。
透明感があるため、セラミックやジルコニアに馴染み、色がきれいです。
デメリットは、歯や歯茎の状態によっては、適応できない場合があること。
打撲や無理な噛み方をした衝撃で、歯根が割れない代わりに、ファイバーコア自体が折れてしまう場合があります。
しかし、自分の天然の歯根が割れてしまうより、歯に優しいという考え方もできます。
価格:16,500円(税込)
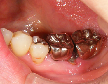
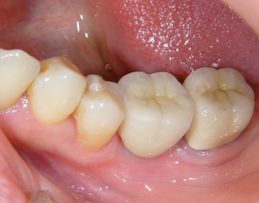
インレー
セラミックインレー
セラミックインレーとは、セラミック製の奥歯への白い詰め物のことで、虫歯の治療後に詰める金属の代わりに使用します。金属の詰め物とは違い、天然歯のような自然な美しさに仕上がります。
ジルコニアインレー
ジルコニア素材で作られる丈夫なセラミックインレーです。割れにくく強度があります。
色の再現性が限られますが、奥歯の目立たない箇所だと十分に白く患者さんの満足度も許容範囲。
特に6番目・7番目の奥歯ですと、隣接面を含んだ複雑窩洞(かどう)で面積が広かったりする場合は、強度を保つジルコニアインレーをお勧めします。
クラウン
オールセラミッククラウンの特徴
オールセラミッククラウンとは、金属を一切使わないセラミックのみでできた被せ物です。金属を使用していないため、天然歯により近い色合いや形態を再現でき、歯を美しく生まれ変わらせます。
透明感のある自然な歯にすることができる
オールセラミッククラウンの最大の特徴は、自然の歯のような透明感を出した被せ物を作ることができることです。歯には神経があり黄色っぽい象牙質と歯の表面を覆っている透明なエナメル質があります。このエナメル質の透明感を自然に作る事ができるのがオールセラミッククラウンなのです。
自分のしたい白さにできる
今まで自分の歯が黄色や灰色だったので、被せるときはきれいな歯の色にしたい。このような要望にも応えられるのがオールセラミッククラウンです。
周りの歯の色に合わせたい、周りの歯の色より少し白くしたいなど、色を自由に選択することができます。
歯茎が黒くならない
金属を使う保険の差し歯やメタルボンド(金属の表面にセラミックを焼き付けたもの)の場合、金属が歯茎に漏れ出し、歯茎が黒くなってしまうことがあります。特に金属の土台を使うと土台が黒くなりやすいです。一度黒くなってしまった歯茎は刺青のようになり、被せ物を後から変えても、歯茎の色が戻らないのです。
そのため前歯には金属を使わない治療をお勧めします。
EMaxセラミックは、最高の審美性と、十分な耐久力を持つ陶歯です。
陶歯ですので、ブリッジや連結には適しません。
ジルコニア単体(ステイニングあり)
透明感はほかと比べると多少劣りますが、臼歯部で高度な審美性の再現を必要としない方、厚みがとれない場合に適しています。なかにジルコニアのフレームが入っているため、ブリッジや連結にも適しています。
ジルコニアボンド
ジルコニアフレームに陶材を焼き付け、審美性と強度のバランスが良く最もおすすめ。美しい天然歯のような審美性を専門の技工士が匠の技で製作します。<クラウン>被せ物
<インレー>部分的な詰め物
使用する素材の比較
※表は横スクロールしてご覧いただけます。
| 色調 | 強度 | 清掃性 | 副作用・リスク | |
|---|---|---|---|---|
| メタル (保険適応) |
金属色 | 〇 硬い |
汚れがつきやすい | 金属アレルギー メタルステインなど |
| CAD/CAM (保険適応) |
白い 透明感がなく色の種類も少ない |
△ やや柔らかい |
汚れがつきやすい | 破折しやすい カリエスリスクが高い |
| セラミック | 透明感が高く自然な仕上がり | 〇 硬い |
汚れがつきにくい | ジルコニアより破折しやすい |
| ジルコニア | 透明感がやや低い | ◎ とても硬い |
汚れがつきにくい | 強度が高い分 歯の破折リスクがやや高い |


















